We tend to think of dental crowns as “permanent” fixes. You get it done, you forget about it, and you move on with your life. But while crowns are incredibly sturdy, they aren’t immortal. Most high-quality crowns have a “sweet spot” of about 10 to 15 years.
If you’ve had yours for a decade or longer, it might be time to check under the hood. Here are five signs that your dental crown is ready for retirement
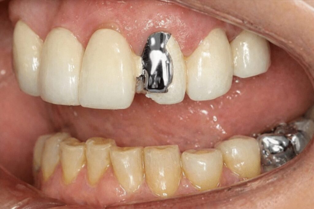
(1) The “Black Line” Around the Gums
Have you noticed a thin, dark margin where your tooth meets your gum?
- The Culprit: This is common with older metal-ceramic crowns.
- The Problem: As your gums naturally recede over time, the metal base of the crown becomes visible. While it’s not always a health risk, it’s a major aesthetic giveaway that your smile has had “work done.” Modern all-ceramic or zirconia crowns can eliminate this “shadow” forever.
(2) The Chipped or “Rough” Surface
Does your tongue keep catching on a sharp edge?
- The Culprit: General wear and tear or accidental trauma.
- The Risk: If the porcelain “skin” of your crown chips, it exposes the metal underneath, which looks like a dark spot. More importantly, if the wall of the crown is fractured, it creates a “food trap.” This leads to gum inflammation, bleeding, and—worst of all—decay (caries) on the natural tooth hiding underneath.
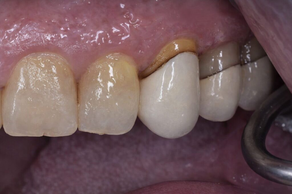
(3) The “Gap” (Gum Recession)
If your gums are pulling away from the crown, you’ve got a problem.
- The Problem : When gums recede, it leaves a literal “shelf” for food and bacteria to sit on. Because this area is hard to clean, it’s the #1 spot for new cavities to form at the base of your crown. If the gap is visible, the seal is likely compromised.
(4) The “Sore Thumb” (Shade Mismatch)
Your dental work should be your best-kept secret.
- The Problem : Over the years, your natural teeth might stain or change color, while your ceramic crown stays the exact same shade it was 10 years ago. If your crown no longer “blends in” with your smile zone, a replacement can refresh your entire look and make your smile appear years younger.
(5) The “Silent Alarm” (Pain or Swelling)
Pain is your body’s way of saying something is wrong beneath the surface.
- The Risk : If you feel sensitivity or a dull ache when you bite down, the tooth under the crown might have a new cavity or a microscopic fracture. In some cases, decay can reach the nerve. If you feel swelling in the gums, don’t wait—that crown needs to come off so the tooth can be saved.
A dental crown is like a helmet for your tooth. If the helmet is cracked, ill-fitting, or worn out, it can’t do its job. Replacing an old crown now can save you from a much more expensive root canal or extraction later.
