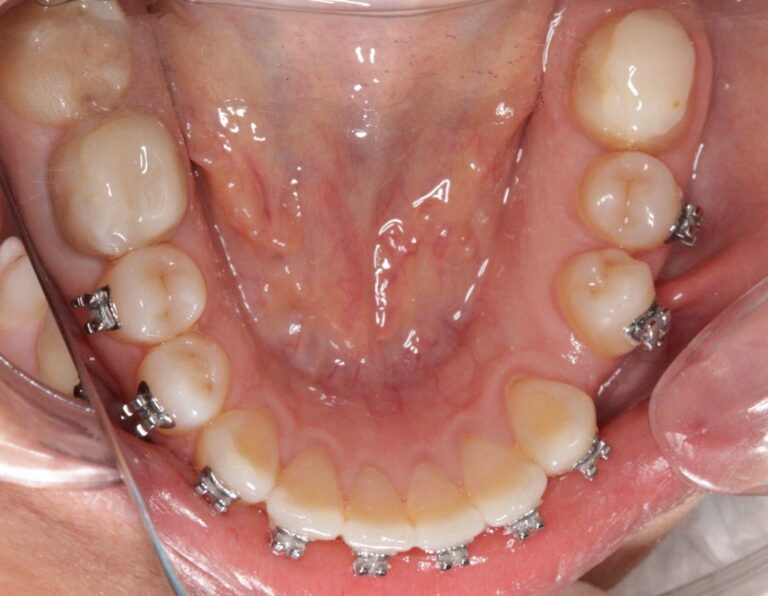
Tooth loss is more common than many people realize, but its impact extends beyond aesthetics. Patients often ask whether replacing a missing tooth is truly necessary — the answer is absolutely yes.
Each tooth plays a vital role in maintaining proper bite alignment, jaw function, and facial balance. When even one tooth is missing, the system becomes destabilized, often resulting in what we refer to as a “Domino Effect”.
Common consequences include:
- Tooth shifting: Adjacent teeth tend to migrate toward the gap, leading to misalignment and bite irregularities.
- Over-eruption: The opposing tooth may extend into the empty space, creating occlusal interferences and discomfort.
- Bone resorption: The underlying jawbone begins to deteriorate due to lack of stimulation from the missing tooth, compromising facial support over time.
Left unaddressed, these changes can cause functional issues such as difficulty chewing, speech alterations, and jaw discomfort. They may also contribute to aesthetic concerns and increase susceptibility to gum disease and dental decay.
From an orthodontic perspective, timely intervention is essential. Tooth replacement — whether through implants, bridges, or naturally i.e. via orthodontics— helps preserve alignment, function, and bone integrity. Delaying treatment can complicate future corrective procedures and increase overall treatment needs. When tackled early, orthodontic space closure is a good alternative to using prostheses. However not all cases are the same and treatment plans vary based on a multitude of factors.
Ultimately, every tooth serves an important purpose in maintaining oral harmony. Replacing missing teeth promptly not only restores your smile but also safeguards long-term dental health and bite stability.
